Varón de 85 años diabético, dislipémico y con cardiopatia isquémica crónica que es remitido por hallazgo casual de cifras de tensión arterial elevadas. Su hija es enfermera refiere que su padre siempre ha tenido tendencia a la hipotensión arterial. Sin embargo, hace unos días le midió la tensión en el brazo derecho y objetivó 200/100 mmHg. Sorprendida por el hallazgo efectuó otra medida en el brazo en el que habitualmente le mide la tensión arterial a su padre con el resultado de 90/60mmHg. Por otro lado, el paciente se encuentra completamente asintomático.
El diagnóstico diferencial debe realizarse con todas las causas que explican una diferencia patológica de tensión arterial en ambos brazos.
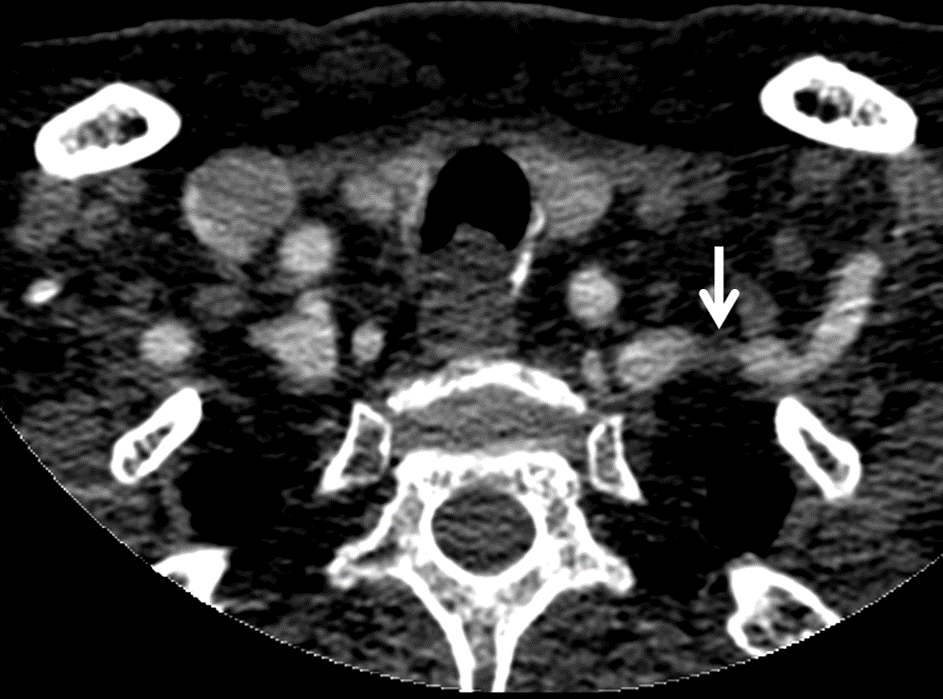
– Estenosis de la arteria subclavia izquierda (caída de presión por la existencia de una dificultad al flujo arterial). La etiología de la estenosis más frecuente es la ateroesclerótica pero también puede deberse a procesos tumorales del parénquima pulmonar o mediastino con invasión vascular.
– Hemiparesia izquierda tras un ictus. La hemiparesia tras un ictus produce una hipotonía muscular del lado afecto e hipertonía del contralateral que puede explicar una diferencia de tensión arterial entre ambos brazos. Nuestro paciente no presentaba antecedentes de ictus por lo que esta opción queda descartada.
– Pseudohipertensión arterial por calcificación de la arteria braquial.
– Coartación aórtica preductus, pero no sería un diagnóstico viable puesto que se trata de un anciano que se encuentra asintomático, siendo esta malformación sintomática y fundamentalmente diagnosticada en edad pediátrica.

– Control de los factores de riesgo cardiovascular. Entre las actuaciones para llevar a cabo se encuentran: cambios en el estilo de vida, restricción de la ingesta de sal, control del peso, cambios en la dieta, moderación en el consumo de alcohol, ejercicio físico regular, si es fumador dejar de fumar…
– Tratamiento antihipertensivo, antiagregantes y estatinas (varios estudios han descrito la asociación de arteriopatía coronaria hasta en el 50% de pacientes con estenosis de la subclavia). En cuanto al tratamiento antihipertensivo del presente caso al tratarse de un paciente de alto riesgo con cifras de tensión arterial muy elevadas sería una terapia dual, combinación de fármacos siendo de elección los diuréticos y los antagonistas del calcio los más apropiados como primer escalón terapéutico.