Mujer de 19 años sin antecedentes médicos de interés que acude a su consulta tras presentar un sincope precedido de visión borrosa. Su tío abuelo materno falleció a los 47 años de forma súbita y al parecer lo catalogaron de infarto agudo de miocardio. En el momento en que usted valora a la paciente se encuentra asintomática. La paciente muestra un buen aspecto general, adecuada coloración de piel y mucosas, una tensión arterial de 110/75 mmHg, una frecuencia cardiaca de 60 lpm y una saturación de oxigeno (aire ambiente) de 95%. La auscultación cardiaca revela un soplo sistólico en foco pulmonar con desdoblamiento fijo del segundo ruido cardiaco, siendo el resto de la exploración normal. El electrocardiograma y la radiografía de tórax realizados se muestran a continuación.

1. La anamnesis no es adecuada puesto que es incompleta. El motivo de consulta es un síncope, por lo tanto es fundamental realizar una anamnesis dirigida que describa las características del episodio sincopal. En este caso no se mencionan en que situación ocurrió (sedestación, bipedestación, con ejercicio físico, micción, dolor…) ni la duración de la pérdida de conocimiento. Por otro lado, no se describe la presencia/ausencia de otros datos clínicos ocurridos durante el episodio sincopal ( coloración de la piel, sacudidas musculares, descontrol esfinteriano, mordedura lingual) ni tampoco en la fase inmediata de la recuperación (confusión, somnolencia, déficit neurológico…). Todo lo anterior es esencial para poder realizar el diagnóstico diferencial de la causa del síncope. En nuestro caso el sincope ocurrió en el contexto de un estimulo nociceptivo (extracción dentaria), precedido de sudoración, nauseas y visión borrosa, recuperándose completamente y de forma espontánea en segundos (Sincope neuromediado nociceptivo).
2. El diagnóstico de sospecha ante la presencia de un desdoblamiento fijo del segundo ruido en la auscultación cardiaca debe ser la comunicación interauricular (CIA). La evolución clínica de la CIA va a depender del tamaño del defecto, siendo asintomáticas en la mayoría de los defectos pequeños. Las CIAs de gran tamaño producirán síntomas a edades más tempranas debido al desarrollo de hipertensión pulmonar (HTP). En la infancia, pueden cursar con retraso en el crecimiento e infecciones respiratorias recurrentes en caso de defectos importantes. En la edad adulta, los pacientes pueden presentar palpitaciones debido a arritmias supraventriculares, disnea de esfuerzo (sobre la 5ª década de la vida o antes si HTP) y embolias paradójicas (shunt derecha-izquierda). En nuestro caso la ausencia de HTP hace poco probable que el sincope se encuentre relacionado con la CIA, siendo esta probablemente un hallazgo casual.
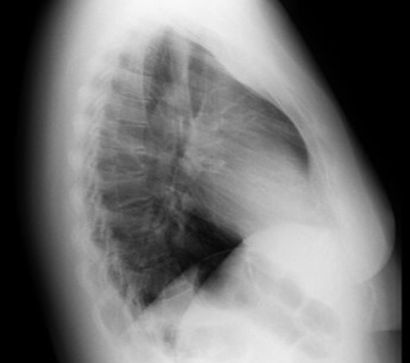
3. Radiografía de tórax: Parénquima pulmonar con hilios pulmonares aumentados de tamaño con visualización de vasos pulmonares que se extienden hacia la periferia. Dilatación del tronco de la arteria pulmonar. Botón aórtico no calcificado. A nivel del mediastino medio se aprecia aumento de la silueta cardíaca a expensas de crecimiento de aurícula derecha (expansión del borde cardíaco derecho hacia campo pulmonar derecho) y ventrículo derecho (ocupación parcial del espacio retroesternal en radiografía lateral). Senos costo-diafragmáticos libres. Ausencia de derrame pleural.
Electrocardiograma: Ritmo sinusal en torno a 80 lpm. Crecimiento biauricular. PR 200 mseg. QRS ancho con morfología de bloqueo completo de rama derecha del haz de His (patrón rsR´en V1) y eje cardíaco inferior. Alteraciones de la reporalización con presencia de ondas T negativas en V1-V2 secundarias al bloqueo de rama derecha. QT normal.
4. La prueba complementaria de elección para confirmar el diagnóstico en este caso es el ecocardiograma transtorácico. Es una técnica inocua, muy accesible y con una alta rentabilidad diagnostica a bajo coste. En nuestro paciente, el ecocardiograma transtorácico (ETT) confirmó la dilatación de cavidades derechas con visualización mediante la técnica doppler-color de una comunicación a través del septum interauricular de izquierda a derecha debido a la existencia de una CIA tipo ostium secundum (ver video).
Existen otras exploraciones complementarias, como son el ecocardiograma transesofágico (ETE) y la resonancia magnética cardiaca que emplearemos para una mejor valoración de la lesión o para el diagnóstico de confirmación en los casos que el ETT no sea definitivo. En nuestro paciente se calculó un índice QP/QS(flujo pulmonar/flujo sistémico) mayor a 1,5 con ausencia de HTP. El ETE confirmó el diagnóstico de CIA ostium secundum con shunt I-D. (ver video)
5. La indicación del cierre del defecto debe realizarse:
La técnica de elección es el cierre percutáneo. En los casos en los que no es posible, porque los bordes de la CIA sean inadecuados o exista un defecto muy grande (> 38 mm), el tratamiento será quirúrgico. En nuestro caso la paciente a pesar de estar asintomática, presentaba un defecto con dilatación de cavidades derechas, en ausencia de hipertensión pulmonar, motivo por el que se decidió el cierre del mismo. El tamaño del defecto y la presencia de bordes adecuados hizo posible el cierre percutáneo (ver vídeo).
6. La corrección precoz (< 25 años) en ausencia de HTP se encuentra asociado a buen pronóstico a largo plazo. Sin embargo el cierre del defecto en edades más avanzadas (> 40 años) o presencia de HTP, empeora el pronóstico de estos a pacientes a pesar de la corrección.