[]

Varón con dolor torácico prolongado.

Caso clínico

Varón de 54 años sin cardiopatía previa conocida derivado a urgencias por dolor torácico. Entre sus antecedentes médicos destaca hipertensión arterial conocida desde hace 3 años en tratamiento con ramipril 5 mg, tabaquismo y obesidad grado I. Su mujer comenta olvidos frecuentes de su medicación crónica y no suele realizarse controles de tensión arterial. Según relatan sus familiares se encontraba trabajando como hace habitualmente en una pequeña huerta de su propiedad cuando tras levantar un peso importante ha comenzado con un dolor centrotorácico que describía como una presión que irradiaba a brazo izquierdo, cuello y espalda. Dado que el dolor persistió durante más 30 minutos decidieron avisar al 112. Cuando los servicios de emergencias llegaron al domicilio, el paciente presentaba regular estado general con importante agitación y ansiedad que se acompañaba de sudoración profusa y palidez cutánea. Tensión arterial: 200/110 mmhg, frecuencia cardíaca: 90 lpm, frecuencia respiratoria: 22 rpm, saturación de O2: 94%, afebril. Auscultación cardíaca: taquicardíco con ruidos rítmicos, describen soplo sistólico eyectivo en foco aórtico con segundo ruido conservado junto con soplo protodiastólico decreciente en borde esternal izquierdo medio. Auscultación pulmonar con roncus pulmonares dispersos. Extremidades inferiores sin edemas y pulsos periféricos conservados.

Cuestiones

1. En base a la anamnesis previa, ¿cuáles serían las principales entidades clínicas entre las que debería realizar un diagnóstico diferencial?

 


2. ¿Qué pruebas complementarias solicitaría inicialmente en urgencias?

 


3. Tras los hallazgos obtenidos, ¿cuál sería su principal sospecha diagnóstica y qué pruebas complementarias solicitaría para su confirmación?

 


4. ¿Cuál sería el manejo inicial de este paciente? y ¿cuál sería el tratamiento definitivo?

 


5. En base a los hallazgos del ecocardiograma realizado antes de la intervención quirúrgica (ver imagen) ¿considera necesario realizar alguno tipo de estudio adicional en los familiares del paciente?

 

Respuestas

1. En nuestro paciente, cuyo síntoma cardinal es el dolor torácico, es imprescindible excluir aquellas causas que impliquen un riesgo vital inminente. Dado que se trata de un varón de 54 años, hipertenso y que presenta un dolor torácico de características típicas de isquemia miocárdica (opresivo, irradiado, asociado a cortejo vegetativo, aparece tras un esfuerzo) se debería considerar como diagnóstico de sospecha inicial el síndrome coronario agudo. La disección de aorta, incluida dentro del síndrome aórtico agudo, puede cursar con dolor torácico intenso, de inicio brusco y con irradiación a región interescapular. Suele asociarse frecuentemente a pacientes hipertensos, fundamentalmente en los casos adquiridos (>75%). Otras patologías graves que podrían justificar el cuadro clínico de nuestro paciente serían el tromboembolismo pulmonar (antecedentes de inmovilización, neoplasia, cirugía previa y trombofilia), la rotura esofágica (técnicas invasivas previas o cuerpo extraño), pericarditis con o sin derrame pericárdico (fiebre, infección previa, tendencia a la hipotensión en caso de taponamiento) y el neumotoráx (dolor pleurítico: punzante, aumenta con la inspiración, la tos y el decúbito). Aunque estas últimas son menos probables, deberían igualmente formar parte del diagnóstico diferencial.

 

2. En primer lugar, ante la presencia de dolor torácico sugestivo de isquemia miocárdica aguda se debe realizar en los primeros 10 minutos desde la llegada del paciente a urgencias un electrocardiograma para diagnosticar o excluir que se trate de un síndrome coronario agudo con elevación del segmento ST (precisa de terapia de reperfusión mediante fibrinolíticos o angioplastia primaria de manera urgente). También nos será útil para otras patologías. Por otro lado, la radiografía de tórax nos puede aportar información relevante en pacientes con dolor torácico (Tabla 1).

 

 

 

 

 

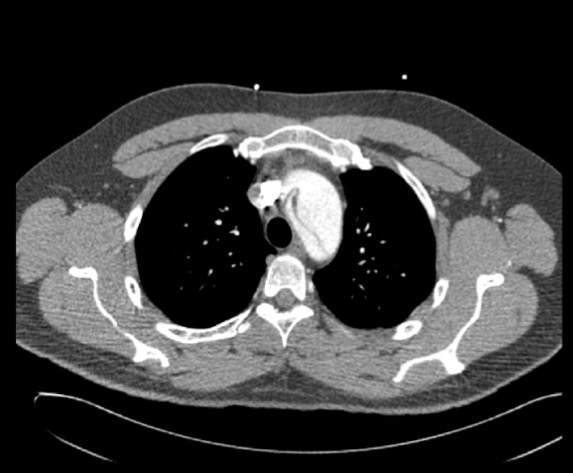
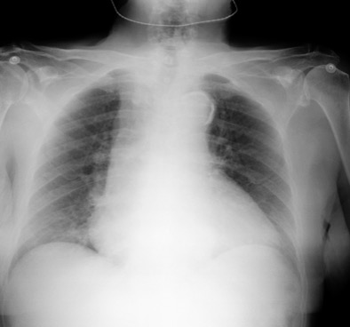
3. En nuestro caso tanto el electrocardiograma que no presenta datos de isquemia miocárdica aguda (descenso del segmento ST menor a 1 mm con onda T negativa asimétrica en I-II-aVL, V5-V6 sugestivo de sobrecarga sistólica de ventrículo izquierdo) como los hallazgos de ensanchamiento del mediastino superior en la radiografía de tórax aumentan la probilidad de que se trate de un síndrome aórtico agudo (SAA). Dada la elevada morbimortalidad que presenta esta entidad es indispensable confirmar o excluir su diagnóstico, siendo para ello fundamental las técnicas de imagen, como son la ecocardiografía (particularmente el ecocardiograma transesofágico) y la tomografía computerizada (TC). En casos de baja probabilidad clínica podría considerarse la determinación del dímero D debido a su elevado valor predictivo negativo para descartar esta entidad. La ecocardiografía es de gran utilidad en pacientes inestables o en casos de alergia al contraste iodado (utilizado en el TC). Por otro lado, el angio-TC (con una sensibilidad y especificidad > del 93 y 83%, respectivamente) es la técnica de imagen más utilizada para el diagnóstico del SAA, en especial en la disección de aorta. Dado que nuestro paciente inicialmente no presentaba deterioro hemodinámico solicitamos un angio-TC (ver imagen) que mostró un aneurisma de aorta ascendente con flap intimal que se origina en aorta ascendente a la salida del tronco braquiocefálico derecho hasta la aorta descendente inmediatamente distal a la salida de la arteria subclavia izquierda, compatible con Disección tipo A de Stanford. Es importante recordar que los SAA puede presentarse de formas muy diversas (infarto agudo de miocardio, insuficiencia aórtica aguda, taponamiento cardíaco, síncope, ictus isquémico o AIT, alteraciones perfusión periférica y crisis hipertensiva).

 

 

 

 

4. Este tipo de patología debería ser manejada en una unidad de cuidados intensivos siempre que sea posible. El tratamiento médico estará dirigido por un lado al control óptimo de la tensión arterial y la frecuencia cardíaca (objetivo TA <120/80 mmhg y FC <60 lpm). Como fármacos de elección se recomiendan los betabloqueantes para el control de la frecuencia cardíaca (labetalol o esmolol). En caso de contraindicación se deberían emplear antagonistas del calcio no dihidropiridínicos como el diltiazem. Para el control de la tensión arterial se recomiendan el uso de nitratos (nitroprusiato) o del urapidilo, un antagonista de los receptores alfa-1. Por otro lado, es muy importante el tratamiento del dolor tanto para el alivio de los síntomas como para disminuir la respuesta adrenérgica del mismo. Para ello se deberían emplear analgésicos del tipo opiáceos como el cloruro mórfico. El tratamiento definitivo depende de la localización de la disección y la clínica del paciente. En la disección aórtica tipo A la cirugía urgente es el tratamiento de elección, excepto en casos con comorbilidades importantes o lesiones cerebrales y viscerales graves o irreversibles.

 

5. El video muestra el plano denominado eje corto a nivel de grandes vasos donde se puede observar una válvula aortica bicúspide (VAB) con importante calcificación de sus valvas lo que genera una importante limitación de movimiento (estenosis aórtica) y un defecto de coaptación (insuficiencia aórtica). Según la evidencia actual entre un 20-84% de los pacientes con VAB desarrollaran un aneurisma de aorta ascendente. Comparado con la población general los pacientes con VAB tienen hasta 8 veces más riesgo de sufrir una disección aórtica. La frecuencia de BAV en familiares de primer grado oscila entre el 5-10% por lo que actualmente se recomienda realizar un cribado con ecocardiografía. La ecocardiografía tiene una excelente sensibilidad para detectar los casos de válvula aórtica bicúspide y analizar la aorta ascendente. En determinados casos será necesario emplear otras técnicas diagnósticas como la resonancia cardiaca debido a limitaciones con la ventana ecocardiográfica.

Para saber más
  • 2014 ESC Guidelines on the diagnosis and treatment of aortic diseases. European Heart Journal (2014) 35, 2873–2926.
  • 2020 ESC Guidelines for the management of adult congenital heart disease. European Heart Journal (2020) 00, 183.
Autor
  • Alejandro Lova Navarro. Hospital Virgen del Castillo.
Todos los derechos reservados © Carprimur S.L